DIU au cuivre : déplacemet vers le canal endocervical sous l'effect des contractions utérines

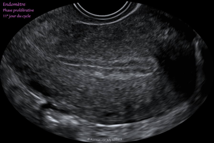
Utérus : l'aspect échographique habituel de l'endomètre de la phase proliférative (la phase estrogénique de la première moitié du cycle menstruel) :
Echographie réalisée au 11e jour du cycle menstruel - endomètre de 8 mm d'épaisseur.

Échographiquement, on observe entre le myomètre et la cavité utérine les couches successives suivantes :

  • 1- Un très fin liseré anéchogène (discontinu sur l'image) correspondant à la zone de jonction entre le myomètre et la couche basale de l'endomètre.

  • 2- La couche profonde de l'endomètre correspondant à la zone de renforcement basale (plus échogène que le reste de l'endomètre).

  • 3- Les couches moyenne et superficielle de l'endomètre qui paraissent hypoéchogènes comparées à la couche basale profonde.

  • 4- La ligne de la vacuité utérine qui prend l'aspect d'un liseré axial hyper-échogène.

Les trois dernières éléments donnent à l'endomètre de la phase proliférative son aspect échographique en trois feuillets.


Auteur Dr Aly ABBARA
3 Janvier, 2019

Contacter Dr Aly ABBARA
  Paris / France