Atrophie endométriale pseudo-hyperplasique sous traitement par tamoxifène

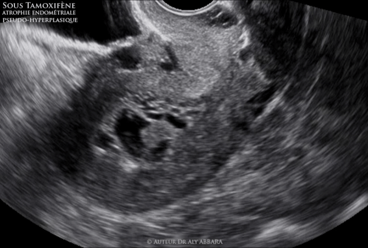
Utérus : l'aspect échographique d'une atrophie endométriale pseudo-hyperplasique asymptomatique chez une patiente âgée de 81 ans traitée par tamoxifène depuis presque 5 ans.

Séquences vidéos et images échographiques montant un des aspects de l'endomètre sous traitement par tamoxifène, il s'agit d'une atrophie endométriale pseudo-hyperplasique.

L'endomètre sur ces images est de 19 mm d'épaisseur ; il est composé de très nombreuses vacuoles occupant la cavité utérine.

L'hystéroscopie montre une cavité utérine contenant de multiples fines cloisons limitant de multiples logettes ou de formations micro-vésiculaires, à paroi très fine et translucide ; l'endomètre est atrophique ne comportant pas de lésion identifiable.

Le curetage endométrial est non productif (aucun débris endométrial analysable en anatomopathologie).

Il s'agit d'une femme de 81 ans, traitée par tamoxifène (20 mg/j) depuis 4 ans et 11 mois, dans le cadre de la prise en charge d'un cancer du sein de type carcinome papillaire intra-kystique découvert il y a cinq ans et traité par tumorectomie et radiothérapie locale.

Le tamoxifène :
Est un ani-œstrogène, utilisé en cancérologie, dans le cadre le prévention de la récidive du cancer du sein.
Parmi les anomalies de l'endomètre chez les patientes traitées par tamoxifène :
  • les atrophies pseudo-hyperplasiques ;
  • les hypertrophies ;
  • les polypes endométriaux ;
  • cancer de l'endomètre :
    Tamoxifène augmente le risque de cancer de mauvais pronostic (risque relatif 1,5 - intervalle de confiance à 95%: 1,1 -2,1). Le risque est d'autant plus important que la durée de traitement par le tamoxifène est longue. Le risque persisterait après l'arrêt du traitement. Le risque est cependant inférieur au bénéfice obtenu dans la survie des femmes atteintes de cancer du sein. Son emploi devrait être raisonné :

    Références :
    - Lancet 2000;356:881-887 et 868-869 (éditorial).
    - Lancet 2001;357:65-68: (discussion de l'article précédent).


Auteur Dr Aly ABBARA
25 Avril, 2019

Contacter Dr Aly ABBARA
  Paris / France