Utérus - femme de 82 ans - atrophie de l'endomètre - myomes involués - رحم إمرأة مسنة - ضمور بطانة الرحم - أورام ليفية ضامرة

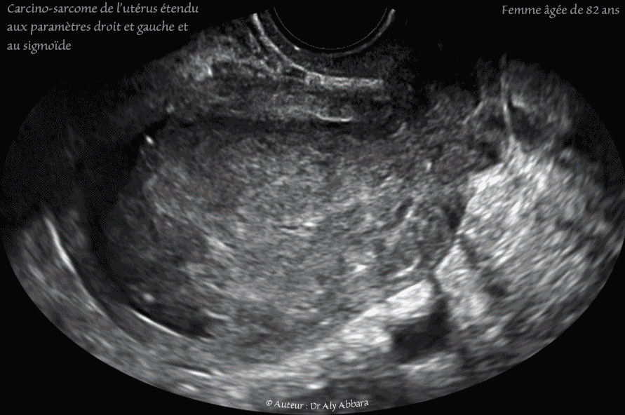
Images échographiques animées montrant l'utérus d'une femme âgée de de 82 ans, atteint d'un carcino-sarcome sous forme d'une tumeur solide de 66 x 42 x42 mm de diamètre (61 cm3) occupant la cavité du corps utérin, puis de son isthme et du canal cervical.

Une grande masse de (85 mm de grand axe), solide, évoluant dans le paramètre droit ; elle est de même nature anatomo-pathologique (carcio-sarcome).
Les annexes utérines droites (ovaire et trompe) sont saines.

Une grande masse latéro-utérine gauche mesurant (121 mm de grand axe), mixte (solide avec quelques composantes kystiques) de même nature anatomo-pathologique (carcio-sarcome), évoulant aux dépens du sigmoïde.
Les annexes utérines gauches (ovaire et trompe) saines (rapport de l'anatomo-pathologie des pièces opératoires)

رحم إمرأة مسنة بعمر 82 سنة مصابة بورم رحمي خبيث، على شكل كتلة صلبة نامية داخل جوف الرحم والقناة العنقية بطول 66 مم، ثم كتلة صلبة بطول 85 مم ناشئة في جانب الرحم الأيمن وأخيراً كتلة ورمية ثالثة نامية على حساب القولون السيني بطول 121 مم

Auteur Dr Aly ABBARA
4 Février, 2016

Contacter Dr Aly ABBARA
  Paris / France