Image clinique coelioscopique montrant le reflux rétrograde, utéro-tubo-abdominal de sang menstrul (règles rétrograde)

Image échographique du petit pelvis et de l'utérus montrant le reflux rétrograde, tubo-abdominal de sang menstrul (sang des règles)

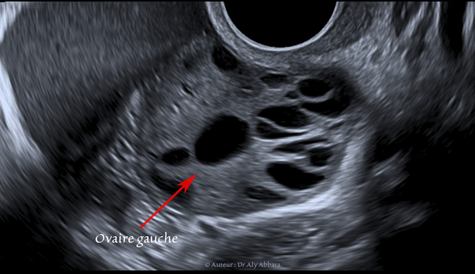
Image clinique échographique du petit pelvis et de l'ovaire gauche montrant le reflux rétrograde, tubo-abdominal de sang menstrul (sang des règles)

La menstruation rétrograde partielle (reflux utéro-tubo-abdominal) :

Image clinique cœlioscopique animée, puis images échographiques par voie endovaginale (une coupe sagittale médiane sur un utérus rétroversé et une coupe longitudinale sur l'ovaire gauche) ; ces images illustrent le reflux rétrograde, tubo-abdominal de sang menstruel qui peuvent survenir au cours de certaines règles (menstruation ou menstrues rétrogrades).

Chez cette patiente, ce reflux menstruel tubo-abdominal assez important était à l'origine de règles extrêmement douloureuses (dysménorrhéique). Les douleurs pelviennes sont provoquées par l'irritation et la réaction inflammatoire du péritoine pelvien par le contact avec le sang de la menstruation qui a atteint la cavité péritonéale par voie rétrograde (cavité utérine > lumière de la trompe gauche > cavité péritonéale).

A noter que chez patiente, l'image cœlioscopique montre l'absence des annexes utérines droites (trompe et ovaire) : antécédent d'annexectomie unilatérale droite pour torsion nécrosante de ces annexes.

- La menstruation ou familièrement "les règles" est l'écoulement par le vagin de sang qui se reproduit périodiquement (mensuellement) en l'absence de grossesse, chez la femme, de la puberté à la ménopause.

- Le sang menstruel est dû à l'élimination de l'endomètre nécrobiosé suite la chute importante de la sécrétion de l'oestrogène et la progestérone par l'ovaire à la fin de chaque cycle menstruel normal (nécrose de l'endomètre et saignement par privation hormonale).

صورة سريرية طبية وبالأمواج ما فوق الصوتي لإظهار حالة من اِرتداد الدم الطمثي الرحمي نحو جوف البطن بعد عبوره لمعة البوق الرحمي الأيسر.
هذا الطمث الراجع يمكن أن يكون السبب لبعض آلام الطمث الشديدة

Auteur Dr Aly ABBARA
12 Mars, 2016

Contacter Dr Aly ABBARA
  Paris / France