Pseudo-anévrysme intra-utérin d'origine traumatique

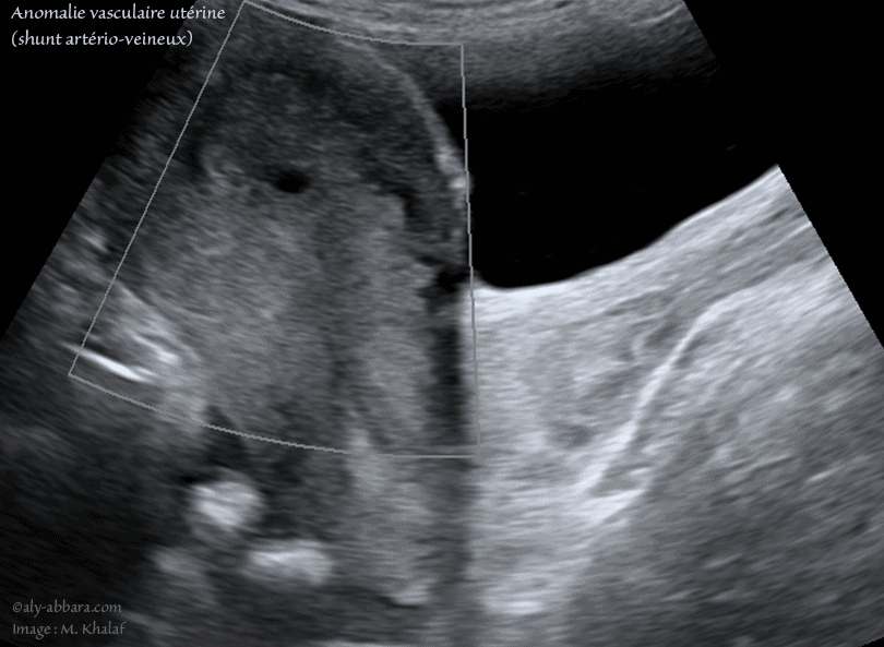
  • Anomalie vasculaire utérine de type " shunt artério-veineux ou pseudo anévrysme " d'origine traumatique (accidentel) :

    • Ce shunt vasculaire au sein du myomètre de la paroi utérine antérieure est survenu chez une femme âgée de 31 ans, consultant, au service des urgences gynécologiques pour douleur pelviennes est métrorragies importantes, une semaine après une hystéroscopie opératoire et résection d'une rétention placentaire, suite à un accouchement ayant lieu deux mois auparavant.

    • L'échographie met en évidence la présence, au sein de la paroi antérieure de l'utérus, d'une lacune hypoéchogène à contour irrégulier. Le Doppler couleur montre qu'il s'agit d'une pathologie vasculaire débutant dans la cavité utérine et traversant verticalement les deux tiers de l'épaisseur myométriale profonde et antérieure.

      L'analyse du spectre-Doppler est en faveur de flux artériels tourbillonnants et se connectant à la circulation veineux située dans la couche superficielle du myomètre.

    • Le diagnostic retenu celui de shunt artério-veineux accidentel, ou un faux anévrysme.

    • L'arrêt des métrorragies a nécessité une prise en charge par embolisation vasculaire.

    • Le pseudo-anévrysme (faux anévrysme) est appelé également : angiome pulsatile, fistule artério-veineuse, anévrysme cirsoïde, hémangiome caverneux.
      Il résulte d'une effraction partielle, traumatique ou infectieux de la paroi artérielle, avec ou sans connexion au réseaux veineux (d'où le nom : fistule artério-veineuse).

    • Ces anomalies vasculaires artério-veineuses intra-utérines ont été décrites suites à :
      • Fausses couches spontanées ; IVG ; grossesse molaire ou de maladies trophoblastiques gravidiques.

      • Après un geste traumatique intra-utérine comme le curetage utérin ou l'hystéroscopie dans le cadre de la prise en charge d'une rétention placentaire post avortement ou accouchement par voie naturelle ou par césarienne.

      • Dans le cadre de la prise en charge médicamenteuse (méthotrexate) des grossesses extra-utérines cornuales.

      • L’infection utérine peut également être à l’origine de faux anévrysme par développement d’une néo-angiogenèse associée à une nécrose localisée de la paroi artérielle.

 

  • Référence :

    Journal de Gynécologie Obstétrique et Biologie de la Reproduction
    Vol 35, N° 6  - octobre 2006
    pp. 614-620
    Doi : JGYN-10-2006-35-6-0368-2315-101019-200605053
    Faits cliniques
    Les malformations artério-veineuses intra-utérines
    À propos de 4 cas
     

    H. Yahi-Mountasser [1], P. Collinet [1], M. Nayama [1], M. Boukerrou [1], Y. Robert [2], P. Deruelle [1]
    [1] Clinique de Gynécologie Obstétrique, Maternité Jeanne de Flandre, CHU de Lille, 1, rue Eugène-Avinée, 59037 Lille Cedex.
    [2] Clinique d’Imagerie Médicale, Maternité Jeanne-de-Flandre, CHU de Lille, 1, rue Eugène-Avinée, 59037 Lille Cedex.
    http://www.em-consulte.com/en/article/117962

Auteur Dr Aly ABBARA
Images échographiques réalisées par Dr M. Khalaf
6 Août, 2018

Contacter Dr Aly ABBARA
  Paris / France