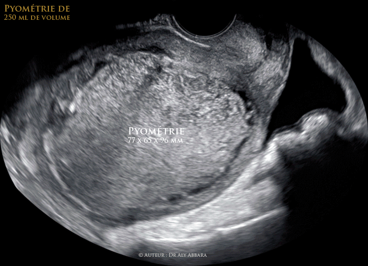
Utérus : volumineuse pyométrie de 250 ml de volume

Utérus : volumineuse pyométrie de 250 ml de volume.
Les parois de l'utérus sont amincies sous la pression du contenu utérin ; aucune lésion végétante endo-utérine n'a été mise en évidence.
La pression exercée sur la paroi antérieure de l'utérus à l'aide de la sonde endovaginale permettait de créer des mouvements de déplacement et de tourbillonnement des particules composant ce contenu utérin.

Cliniquement cette pathologie se manifestait par des douleurs pelviennes évoluant depuis une semaine et de la fièvre depuis quelques heures, avec biologiquement une hyperleucocytose et un taux de CRP (protéine réactive C) à 330 mg/l.


• La patiente est âgée de 59 ans, ménopausée depuis l'âge de 45 ans ; atteinte d'un diabète type II, négligé et non pris en charge depuis plusieurs années (glycémie à jeun est à 3,1 g/l).

• Cette pyométrie a été drainée par voie vaginale en dilatant l'orifice interne du col utérin : évacuation d'environ 250 cc d'une collection endo-utérine purulente ; il s'agit d'un pus jaune grisâtre très malodorant (sentant le soufre).



Auteur Dr Aly ABBARA
19 Novembre, 2018

Contacter Dr Aly ABBARA
  Paris / France