Avortement incomplet d'un oeuf clair (rétention trophoblastique)

Utérus : avortement incomplet avec rétention trophoblastique :

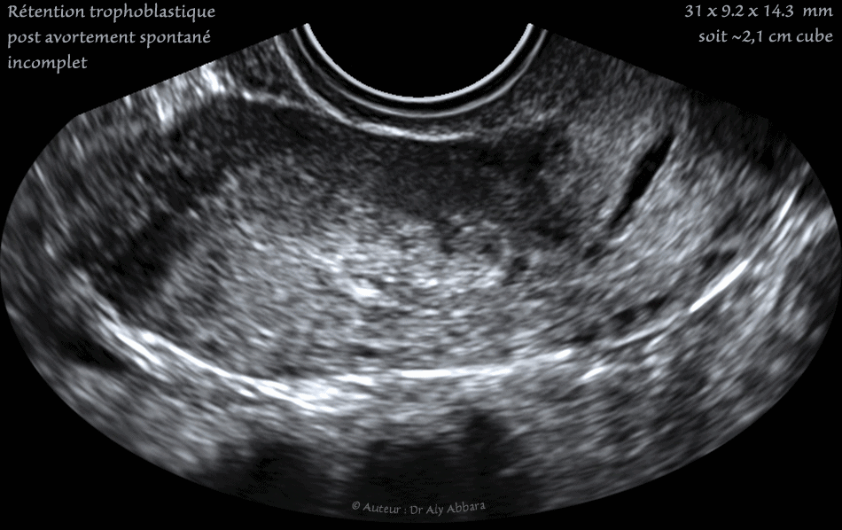
• Images échographiques montrant (sur des coupes sagittale, transverse et frontale) la présence d'une rétention trophoblastique mesurant environ 31 x 9.2 x 14.3 mm (soit 2,6 cm3).

La cavité utérine est occupée par une masse oblongue hétéroéchogène à contour irrégulier.

L'étude Doppler montre qu'il s'agit d'une structure tissulaire encore vascularisée partiellement, donc elle n'est pas complètement détachée de son site d'implantation endométriale (la caduque). Pas de structure embryonnaire identifiée au cours des contrôles successifs (œuf clair).

L'endomètre sur ces images est difficilement identifiable.

En échographie en temps réel, on remarque la présence d'une activité utérine contractile dans le but d'expulser les produits de la grossesse hors de l'utérus.

Les hCG plasmatiques sont positives : 17 600, puis 380 et enfin 88 UI/l (intervalle = une semaine entre deux contrôles successifs).


Auteur Dr Aly ABBARA
6 Août, 2018

Contacter Dr Aly ABBARA
  Paris / France