DIU au cuivre : déplacemet vers le canal endocervical sous l'effect des contractions utérines

DIU au cuivre : déplacemet vers le canal endocervical sous l'effect des contractions utérines

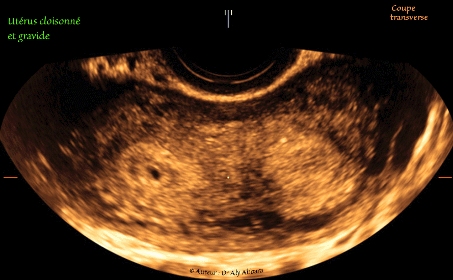
Utérus cloisonné partiellement et gravide (5 SA) :

• Images échographiques montrant, sur une coupe coronale (frontale) et transverse, un utérus malformé : cloisonné et gravide.

• Il s'agit d'une cloison épaisse, antéro-postérieure médiane divisant partiellement la cavité du corps utérin en deux compartiments, droit et gauche de tailles égales.

• Cette cloison musculaire est très large au niveau de sa base fundique (sur la coupe frontale), puis il se rétréci progressivement jusqu'à son extrémité distale qui atteint la zone de jonction du tiers moyen et inférieur de la cavité utérine, donc il s'agit d'une cloison partielle (U2a de la classification de ESHRE et ESGE - 2013).

• La surface extérieure du fond utérin est plate (sans l'indentation fundique extérieure ou sans sillon ou sans fissure ou sans scissure), ce qui permet de le différentier de l'utérus bicorne (ou utérus bicorporéal).

• On observe la présence d'un sac gestationnel débutant (5 SA) dans le compartiment droit de cet utérus.

• Dans les antécédents obstétricaux de cette patiente on note deux grossesses de déroulement normal et accouchements à terme.


Auteur Dr Aly ABBARA
11 Octobre, 2016

Contacter Dr Aly ABBARA
  Paris / France