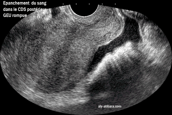
Epanchement du sang dans le cul-de-sac postérieur (de Douglas) dans le cadre d'une grossesse extra-utérine rompue
Coupe échographique sagittale de l'utérus
Épanchement du sang dans le cul-de-sac postérieur (de Douglas) dans le cadre
d'une grossesse extra-utérine tubaire rompue.
Atlas d'échographie
www.aly-abbara.com
Paris / France

11 Avril, 2023