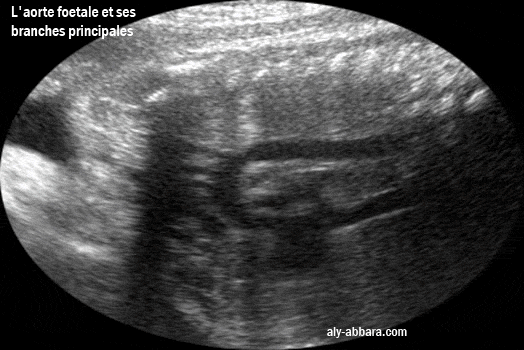
L'aspect échographique de l'aorte ftale avec ses portions et principales branches
Les branches artérielles naissant de la crosse de l'aorte : le tronc artériel brachio-céphalique,
puis l'artère carotide primaire gauche et enfin artère sous-clavière gauche

www.aly-abbara.com
Paris / France
11 Avril, 2023