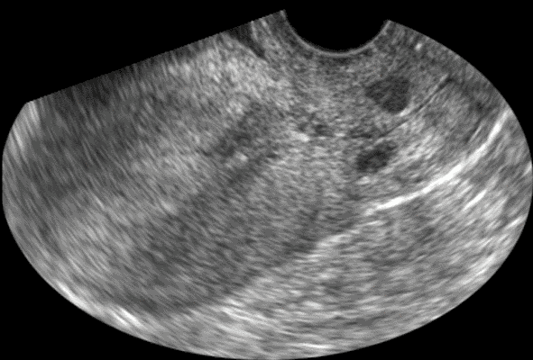
- Le kyste
glandulaire du col utérin et le kyste de Naboth :
- Connu
aussi sous le nom de follicule de Naboth, de kyste glandulaire ou de kyste de rétention ; il se forme sous la surface épithélial
du col utérin lorsque l'orifice d'une crypte glandulaire endocervicale
est obstrué par l'épithélium cylindrique métaplasique,
l'épithélium glandulaire cylindrique reste actif à
l'intérieur de la crypte obstruée et il sécrète
du mucus qui dilate la glande et lui donne l'aspect kystique (ou folliculaire)
de taille variable
,
.
Ces kystes glandulaires rétentionnels sont visibles sur l'exocol,
mais parfois ils sont situés profondément dans le col (comme c'est le cas sur cette image), près du canal endocervical
et invisibles à l'observation du col par le spéculum
ou le colposcope.
- Image
colposcopique
|