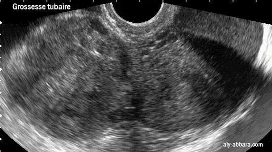
L'aspect échographique
d'une grossesse extra-utérine tubaire gauche avec un énorme hématosalpinx.
La formation de cet macro-hématosalpinx est favorisée par l'épaississement de la paroi tubaire, en rapport avec
une salpingite chronique (données de l'examen anatomopathologique de la trompe gauche)
Sur cette image la trompe gauche paraît à droite car par son poids et son volume, elle s'est déplacée vers la droite.

www.aly-abbara.com
Paris / France
MAJ :
12 Avril, 2023