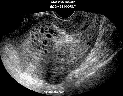
Une coupe sagittale d'un utérus contenant une grossesse môlaire avec son aspect vésiculaire typique.


Image échographique montrant une coupe sagittale d'un utérus contenant une grossesse môlaire
avec l'aspect vésiculaire typique de la môle

On remarque bien l'absence de structures embryonnaires ou préplacentaires reconnaisables

Atlas d'échographie

www.aly-abbara.com
Paris / France
MAJ : 11 Avril, 2023