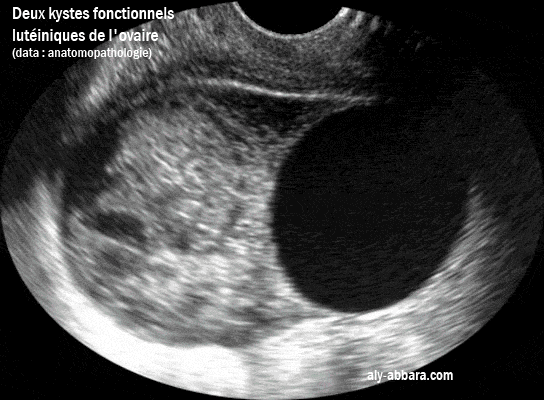
Deux kystes lutéiniques de l'ovaire gauche dont un avec une hémorragie intra-kystique
(Données de l'examen anatomopathologique)


Deux kystes lutéiniques de l'ovaire gauche dont un avec une hémorragie intra-kystique

Atlas d'échographie
www.aly-abbara.com
Paris / France
MAJ : 12 Avril, 2023