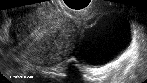
Kyste ovarien gauche  fonctionnel  qui est apparu  5 mois après la pose d'un stérilet hormonal, il s'agit d'un kyste de 50 mm de grand axe

  • Image échographique montrant un des aspects de la tige verticale du stérilet hormonal (au lévonorgestrel) avec la formation d'un cône d'ombre par la réflexion des ondes ultrasons au niveau de cette tige qui est parfaitement individualisable.

  • Puis l'image montre un des inconvénients du dispositif intra-utérin hormonal, il s'agit de la formations des kystes fonctionnels ovariens. En effet, des follicules augmentés de taille sont observés chez environ 12 % des utilisatrices (des kystes fonctionnels ovariens ont été observés chez 12 à 31 % des femmes). Ces follicules ne peuvent être distingués cliniquement des kystes ovariens. La plupart de ces follicules sont asymptomatiques mais certains peuvent s'accompagner de douleurs pelviennes ou de dyspareunie. Dans la majorité des cas, ils disparaissent spontanément au bout de 2 ou 3 mois. Dans le cas contraire, une surveillance échographique continue, ainsi que d'autres mesures thérapeutiques ou diagnostiques, sont recommandées. Une intervention chirurgicale est rarement nécessaire.

  • Chez cette patientes, ce kyste est apparu cinq mois après la pose du dispositif intra-utérin hormonal ; il s'agit d'un kyste fonctionnel de l'ovaire gauche.

Auteur : Dr Aly Abbara
Mise à jour le 14 Avril, 2023
Atlas d'échographie
www.aly-abbara.com
Paris / France