Consulter aussi l'IRM



  • Images d'IRM montrant une grossesse ectopique évolutive de 10,5 SA, localisée dans la paroi antérieure de la région isthmique de l'utérus ; il s'agit d'une localisation rare de la grossesse ectopique (grossesse extra-utérine intramurale isthmique) pouvant être expliquée par la présence d'un diverticule (ou une béance) dans l'ancienne cicatrice d'une césarienne permettant la nidation de la grossesse dans cette zone de la paroi utérine.

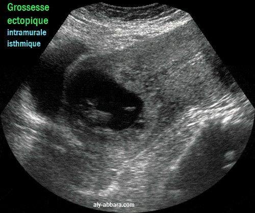
  • À l'échographie, on met en évidence de la présence d'un sac gestationnel de 60 x 70 mm, avec un fœtus vivant de 44 mm de longueur crânio-caudale (10 semaines d'aménorrhée et 5 Jour).
    Ce sac gestationnel n'est pas localisé dans la cavité utérine, car il s'est développé dans la paroi antérieure de la région isthmique de l'utérus, avec une évolution, en particulier antérieure, vers la paroi postérieure de la vessie, mais heureusement, il reste séparé d'elle par une fine couche myométriale qui ne dépasse pas les 2 mm d'épaisseur.

  • Ces données échographiques ont été confirmées par l'IRM qui permet de mettre en évidence les rapports anatomiques de cette grossesse avec les organes avoisinants et qui prouve l'intégrité de la paroi vésicale postérieure.

  • Taux de hCG plasmatique est à 80 000 UI/L.

  • La conduite à tenir :
    Une injection IM de méthotrexate (40 mg/m²) avec RU 486 (600 mg PO), n'ont pas permis d'arrêter l'évolution de la grossesse ; donc quatre jours plus tard, il a été réalisé, une embolisation sélective des deux artères utérines, suivie, 40 minutes après, par une aspiration-curetage permettant l'évacuation de la totalité du sac gestationnel et de son contenu.


    L'embolisation sélective des deux artères utérines a permis d'éviter l'hémorragie incontrôlable connue dans ce type de grossesse ; l'aspiration-curetage a été possible, car une grande partie de trophoblaste se trouvait dans la région isthmique qui constitue le prolongement naturel du canal cervical.


  • Dr ABBARA Aly (échographie et prise en charge médicale et chirurgicale), Dr BENADY (IRM), Dr KARDACH Mourad (embolisation) ; Dr COUDRAY Jean-Michel et Dr MARECHAL Jean-Pierre (anesthésie) ; Dr DODO Thairou (urgences obstétricales) ; Dr ALMASRI Dania (aide opératoire).


Atlas d'échographie
www.aly-abbara.com
Paris / France
MAJ : 14 Avril, 2023