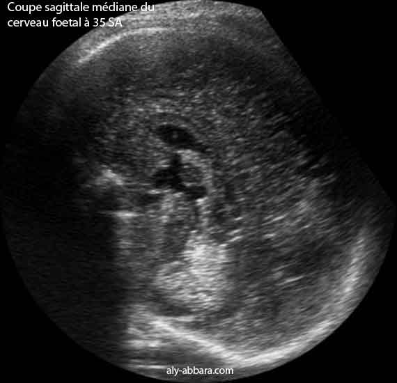
Coupe sagittale médiane puis coronale du cerveau fœtal à 35 SA permettant la mise en évidence :
 
  • la coupe sagittale médiane : corps calleux, le fornix, le cavum du septum lucidum, le cavum vergae, le troisième ventricule, l'aqueduc de Sylvius, le quatrième ventricule.

  • puis sur la coupe coronale : les cornes antérieures des ventricules latéraux avec leur paroi interne formée du feuillet homolatéral du septum lucidum (pellicidum) et leur paroi externe formée par le thalamus homolatéral.

Auteur : Dr Aly Abbara
Mise à jour : 14 Avril, 2023

Atlas d'échographie
www.aly-abbara.com
Paris / France