Image échographique montrant l'estomac foetal avec son contenu prenant la forme d'un pseudokyste et disparaissant 10 minutes plus tard


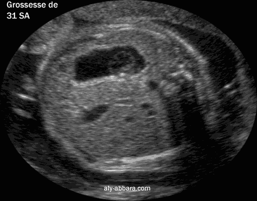
Coupe échographique transversale abdominale montrant l'estomac fœtal avec son contenu prenant la forme d'un pseudokyste et disparaissant 10 minutes plus tard
fœtus âgé de 31SA.

Auteur : Dr Aly Abbara
MAJ : 14 Avril, 2023