
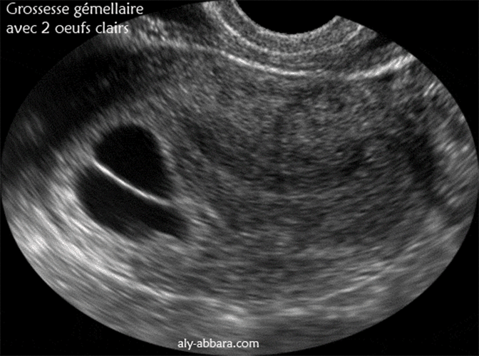
Une coupe échographique transversale d'un utérus gravide, on observe la présence de
deux sacs gestationnels intra-utérins de 26 et 22 mm de grands axes, sans aucune
structure
embryonnaire identifiable. Il s'agit de double ufs clairs
Auteur : Dr Aly Abbara
Mise à jour : le
14 Avril, 2023
www.aly-abbara.com
Paris / France