
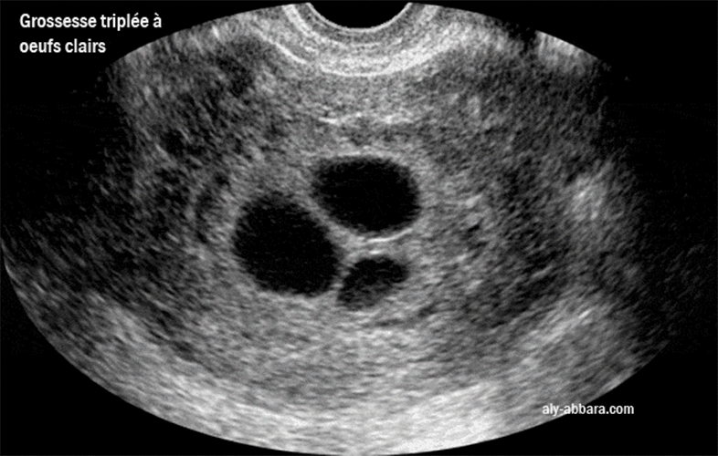
Une coupe échographique transversale d'un utérus gravide, on observe la présence de trois sacs
gestationnels intra-utérins de 24, 22 et 16 mm de grands axes, sans structure
embryonnaire
identifiable. Il s'agit d'un œuf clair multiple (triple) formé de trois ufs clairs.