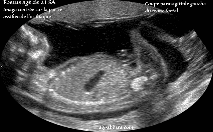
Image échographique centrée sur la partie ossifiée de l'os iliaque gauche
Il s'agit d'une coupe para-sagittale gauche du tronc chez un fœtus âgé de 21 semaines d'aménorrhée.
A ne pas confondre avec une hyperdensité intestinale

Auteur : Dr Aly Abbara
Mise à jour : le 15 Avril, 2023
Atlas d'échographie
www.aly-abbara.com
Paris / France