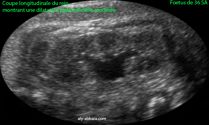
Dilatation pyéllocalicielle modérée d'un rein
Fœtus âgé de 36 SA

Coupe échographique longitudinale du rein fœtal montrant l'aspect ultrasonore de la dilatation modérée, pyélique (du bassinet) et des calices rénales .
Dans le cas présent, il s'agit d'une pyélectasie modérée bilatérale et isolée.

Voir chez le même fœtus l'aspect des reins et des bassinet sur la coupe transverse passant par les deux reins

Auteur : Dr Aly Abbara
Mise à jour : 17 Décembre, 2024

 
Atlas d'échographie
www.aly-abbara.com
Paris / France