
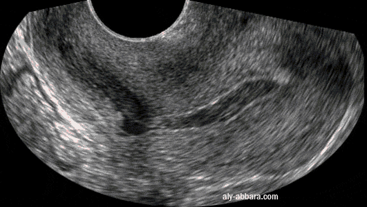
La présence d'une petite lame du sang dans la cavité utérine (après un avortement complet, sans curetage, à 6 SA) permet de bien identifier l'endomètre qui est très fin, et aussi curieusement, on peut facilement constater la présence d'un diverticule ou une sorte de cul-de-sac dans la paroi postérieure de l'utérus, dans la région isthmique. |