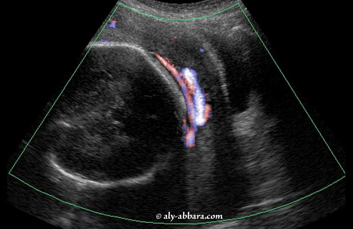
Vasa prævia (vaisseaux prævia)

  • Images échographiques à 31,5 SA mettant en évidence de multiples vaisseaux prævia associés à un placenta bas inséré postérieur de type I, avec un cotylédon aberrant antéro-latéral gauche. L'échographie fut réalisée à ce terme de grossesse dans le cadre d'une nouvelle exploration étiologique de métrorragies de très faible importance et de très courte durée (de quelques heures), ayant eu lieu une semaine auparavant, sans modifications cervicales ni anomalies du rythme cardiaque fœtal.

  • A 38 SA, le placenta, échographiquement n'est plus bas inséré, mais le diagnostic de vasa prævia fut toujours d'actualité, donc une césarienne programmée fut réalisée à ce terme ; l'examen macroscopique des annexes fœtales confirme le diagnostic échographique en mettant en évidence l'insertion marginale du cordon (en raquette), avec un réseau vasculaire composé d'artères et de veines reliant le cotylédon aberrant au cordon ; l'extraction chirurgicale fœtale aboutit obligatoirement à l'ouverture de la poche des eaux avec la rupture de quelques-uns des ces vaisseaux prævia.

  • Le nouveau était en parfaite santé sans anémie ; son extraction par césarienne permit d'éviter l'hémorragie de Benckiser qui pouvait lui être fatale.

Auteur : Dr Aly Abbara
Mise à jour : 20 Avril, 2023

Atlas d'échographie
www.aly-abbara.com
Paris / France