
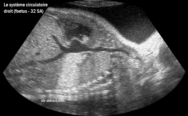
Image échographique montrant le cœur droit avec son oreillette droite, sa valve tricuspide et son ventricule droit, puis le retour veineux par la veine cave supérieure et la veine cave inférieure et les veines sus-hépatiques. Fœtus de 32 semaines d'aménorrhée |
MAJ : 20 Avril, 2023 |