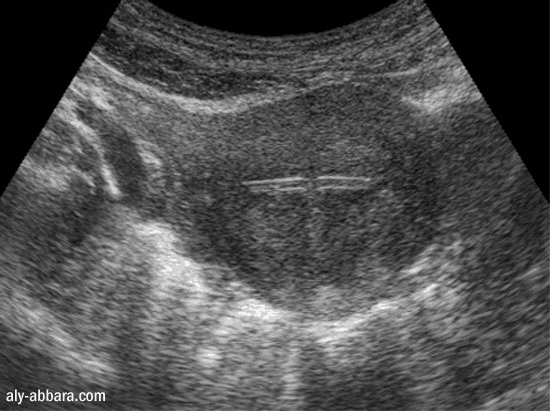
Stérilet
ou DIU (dispositif intra-utérin) hormonal
L'emplacement dans l'utérus vu par l'échographie

La branche horizontale du stérilet (coupe transversale sur l'utérus)

A comparer à l'aspect échographique du stérilet non hormonal

Atlas d'échographie

www.aly-abbara.com

Paris / France
MAJ : 27 Avril, 2023