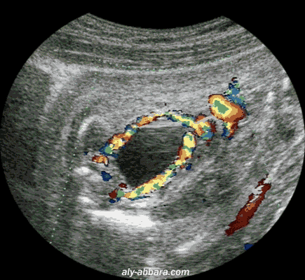
Les artères ombilicales coiffant la vessie dans leurs trajets pelviens
(grossesse de 22 SA)
Cette exploration permet de faire le diagnostic différentiel entre la vessie fœtale et une masse kystique pelvienne


Atlas d'échographie


www.aly-abbara.com

Paris / France
MAJ : 20 Avril, 2023