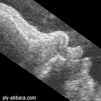
Fœtus à 37 semaines d'aménorrhée
La bouche vue par coupe sagittale médiane avec les mouvements
de succion auxquels on remarque la participation des lèvres
et de la langue







Auteur : Dr Aly Abbara


Atlas d'échographie


www.aly-abbara.com

Paris / France
MAJ : 26 Avril, 2023