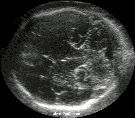
Coupe coronale au niveau du crâne fœtal à 31 SA mettant en évidence le cervelet

et la technique de mesure du diamètre transversal et antéro-postérieur du cervelet



Atlas d'échographie


www.aly-abbara.com

Paris / France
MAJ : 26 Avril, 2023