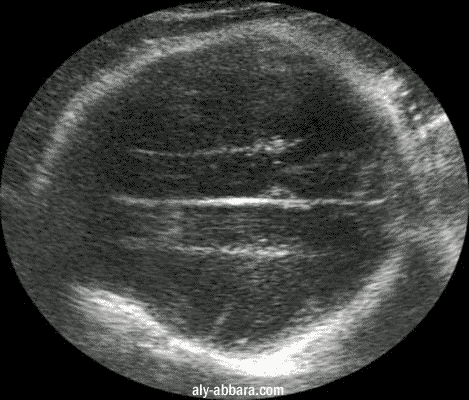
Coupe coronale au niveau du crâne fœtal à 30 SA mettant en évidence
la faux du cerveau et le bord supérieur des ventricules latéraux



La faux du cerveau est un repli courbe de la dure-mère qui sépare les deux hémisphères du cerveau.
© Larousse-Bordas 1998


Atlas d'échographie

www.aly-abbara.com

Paris / France
MAJ : 26 Avril, 2023