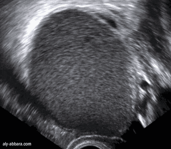
Volumineux kyste endométriosique de l'ovaire
(endométriome)





 
Atlas d'échographie
 


www.aly-abbara.com

Paris / France
MAJ : 27 Avril, 2023