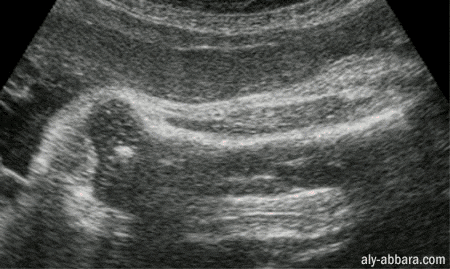
Le fémur ftal (l'os de la cuisse)
: les parties ossifiées
de la diaphyse et l'extrémité inférieur del'os
à 35 semaines d'aménorrhée
Coupe logitudinale passant par la diaphyse et l'extrémité
inférieure de l'os
On peut distinguer sur cette image
échographique les parties ossifiées du fémur à
ce terme de
grossesse, à savoir, la diaphyse et le point d'ossification de Beclard
au niveau de l'épiphyse inférieure.

Voir l'extrémité
supérieure du fémur