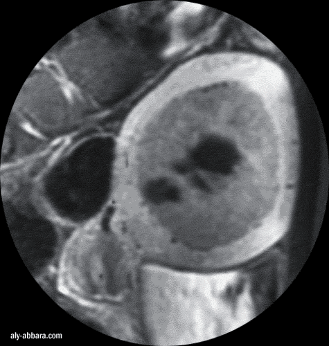
IRM (Imagerie par Résonance
Magnétique) - coupe sagittale de l'utérus
Fibrome utérin (myome) sous muqueux endocavitaire avec nécrobiose
aseptique
à l'origine de multiple foyers kystiques au sein du fibrome
Ce fibrome est
à l'origine de ménorragie et d'anémie

Voir :
l'aspect de ce fibrome
en IRM : coupe coronale
l'aspect de ce fibrome
en échographie : coupe coronale
www.aly-abbara.com
Paris / France
MAJ :
28 Avril, 2023