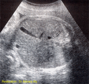
Coupe échographie fœtale abdominale transverse dirigée vers

le foie et la vésicule biliaire






Page d'accueil
Atlas d'échographie
Contacter Dr Aly Abbara


www.aly-abbara.com

Paris / France
MAJ : 28 Avril, 2023