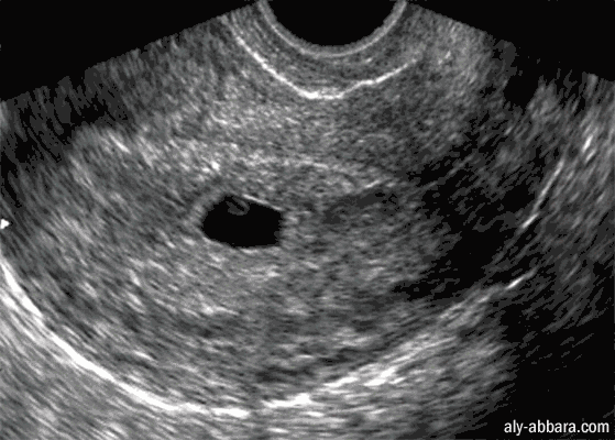
Utérus gravide contenant une grossesse débutante de 5 à 6 semaines d'aménorrhée

Echographiquement on distingue la grossesse sous forme de sac gestationnel de 14 mm de grand diamètre
avec sa couronne trophoblastique qui entoure le cœlome externe contenant la vésicule ombilicale ;
l'embryon n'est pas encore visible




Page d'accueil
Atlas d'échographie
Contacter Dr Aly Abbara


www.aly-abbara.com

Paris / France
MAJ : 28 Avril, 2023