
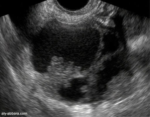
Kyste de l'ovaire droit
Il s'agit d'une tumeur ovarienne multicloisonnée
avec des
végétations
endophytiques (à l'intérieure du kyste) et
exophytiques (à
la surface extérieure de l'ovaire)
(Cystadénocarcinome séreux de haut grade de l'ovaire)