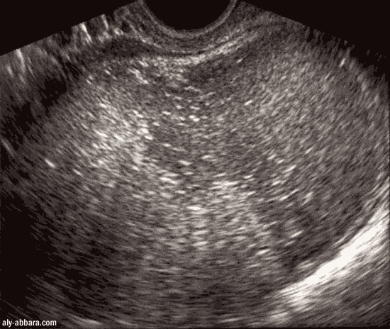
Kyste dermoïde de l'ovaire (tératome bénin)
Sur cette coupe du kyste on voit les deux composantes du kyste :
un magma de poils et une collection d'un liquide graisseux sébacé



Auteur : Dr Aly Abbara
Mise à jour : 28 Avril, 2023

Page d'accueil
Atlas d'échographie
Contacter Dr Aly Abbara


www.aly-abbara.com

Paris / France