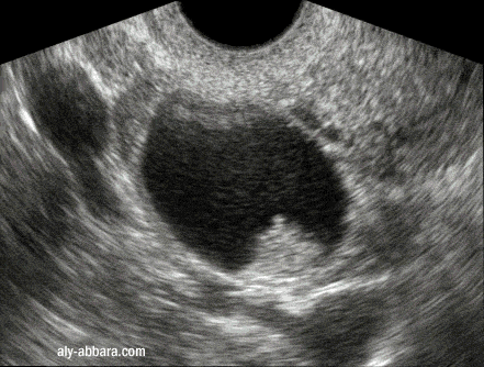
Kyste de l'ovaire droit, fonctionnel avec hémorragie
intra-kystique sous forme d'une fausse végétation endophytique

Auteur : Dr Aly Abbara
Mise à jour : 28 Avril, 2023

Page d'accueil
Atlas d'échographie
Contacter Dr Aly Abbara


www.aly-abbara.com

Paris / France