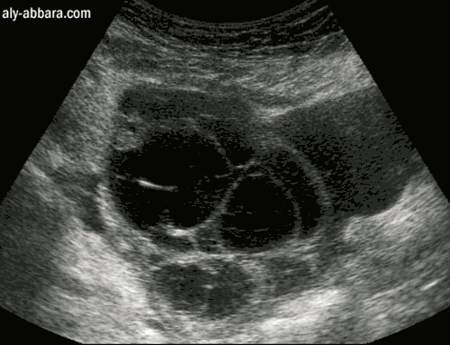
Volumineux kyste mucoïde de l'ovaire
(cystadénome mucineux bénin)

Auteur : Dr Aly Abbara
Mise à jour : 28 Avril, 2023

Page d'accueil
Atlas d'échographie
Contacter Dr Aly Abbara


www.aly-abbara.com

Paris / France