Scanner abdominal
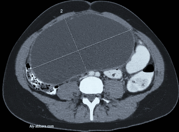
Volumineux kyste mucoïde bénin uniloculaire de l'ovaire gauche
Cystadénome mucineux bénin de 110 x 190 x 249 mm
contenant 3200 cc de liquide visqueux


Auteur : Dr Aly Abbara
Mise à jour : 28 Avril, 2023

Page d'accueil
Atlas d'échographie
Contacter Dr Aly Abbara


www.aly-abbara.com

Paris / France