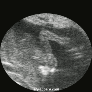
Aspect échographique de l'omoplate fœtale

Coupe frontale
Il s'agit d'une grossesse à 17 semaines d'aménorrhée




Page d'accueil
Atlas d'échographie
Contacter Dr Aly Abbara


www.aly-abbara.com

Paris / France
MAJ : 28 Avril, 2023