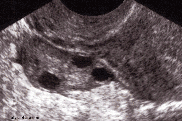
Aspect échographique d'un ovaire droit normal
chez une femme âgée de 32 ans

Page d'accueil
Atlas d'échographie
Contacter Dr Aly Abbara


www.aly-abbara.com

Paris / France
MAJ : 28 Avril, 2023