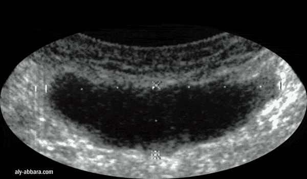
Aspect échographique d'une collection sérosanglante (une sérocèle) au niveau du plan sous cutané
d'une cicatrice de césarienne (par incision transversale de Pfannenstiel) 16 jours auparavant.





Page d'accueil
Atlas d'échographie
Contacter Dr Aly Abbara


www.aly-abbara.com

Paris / France
MAJ : 28 Avril, 2023