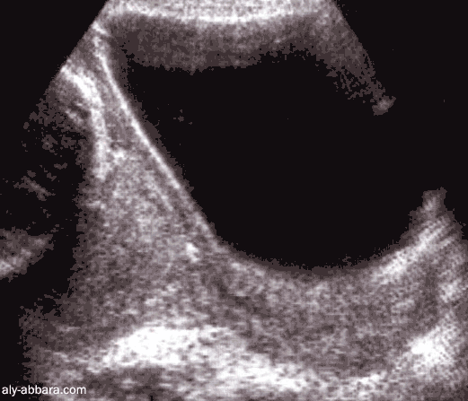
Placenta prævia, recouvrant postérieur (Type IV)
à 34 semaines d'aménorrhée

Cette image montre l'insertion anormale du placenta ; d'abord sur la paroi
postérieure du segment inférieur, puis sur l'orifice interne du col utérin et enfin
sur presque les deux tiers inférieurs de la paroi antérieure du segment inférieur

Consulter :


Page d'accueil
Atlas d'échographie
Contacter Dr Aly Abbara


www.aly-abbara.com

Paris / France
MAJ : 28 Avril, 2023