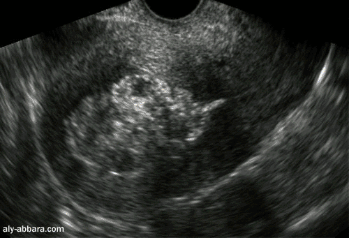
Rétension trophoblastique dans l'utérus
ou polype placentaire

Cette image de 58 x 37 mm, hétéro-échogène qui occupe la totalité de la cavité
utérine, elle a été mise en évidence deux mois après un accouchement naturel



Page d'accueil
Atlas d'échographie
Contacter Dr Aly Abbara


www.aly-abbara.com

Paris / France
MAJ : 28 Avril, 2023