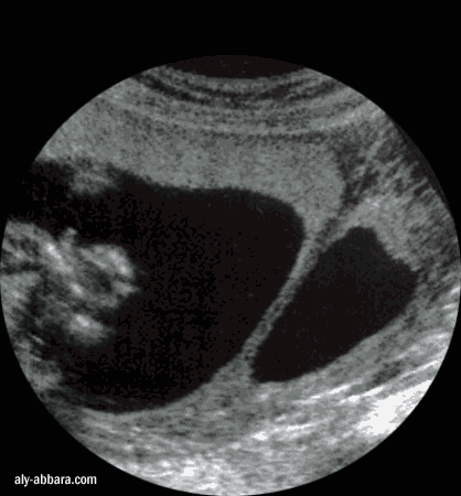
Aspect de l'utérus malformé cloisonné corporéal
chez une femme enceinte de 20 SA

Cloison utérine limitée au fond utérin




Page d'accueil
Atlas d'échographie
Contacter Dr Aly Abbara


www.aly-abbara.com

Paris / France
MAJ : 28 Avril, 2023