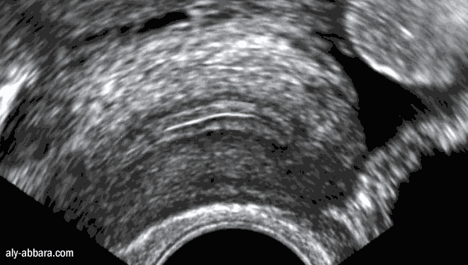
Utérus chez une femme adulte
(première partie du cycle menstruel)
coupe sagittale montrant la technique de mesure de l'épaisseur de l'endomètre





Page d'accueil
Atlas d'échographie
Contacter Dr Aly Abbara


www.aly-abbara.com

Paris / France
MAJ : 28 Avril, 2023