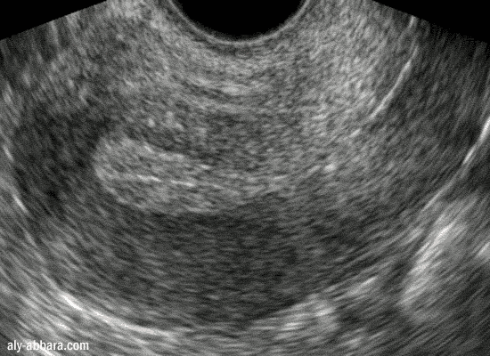
Hypotrophie de l'endomètre chez une patiente sous
contraception par progestatif normo-dosées et se plaignant de métrorragie
Endomètre de 2,5 mm d'épaisseur au 12ème jour du cycle menstruel
Image comparant un endomètre normal et un endomètre hypotrophique


Page d'accueil
Atlas d'échographie
Contacter Dr Aly Abbara


www.aly-abbara.com

Paris / France
MAJ : 28 Avril, 2023