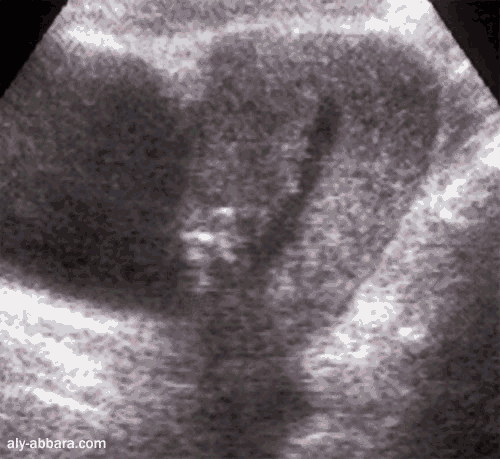
Aspect de l'utérus 14 jours après une césarienne avec
hystérotomie segmentaire transversale
On peut repérer la zone de la suture de l'utérus (l'hystérorrpahie)




Page d'accueil
Atlas d'échographie
Contacter Dr Aly Abbara


www.aly-abbara.com

Paris / France
MAJ : 28 Avril, 2023