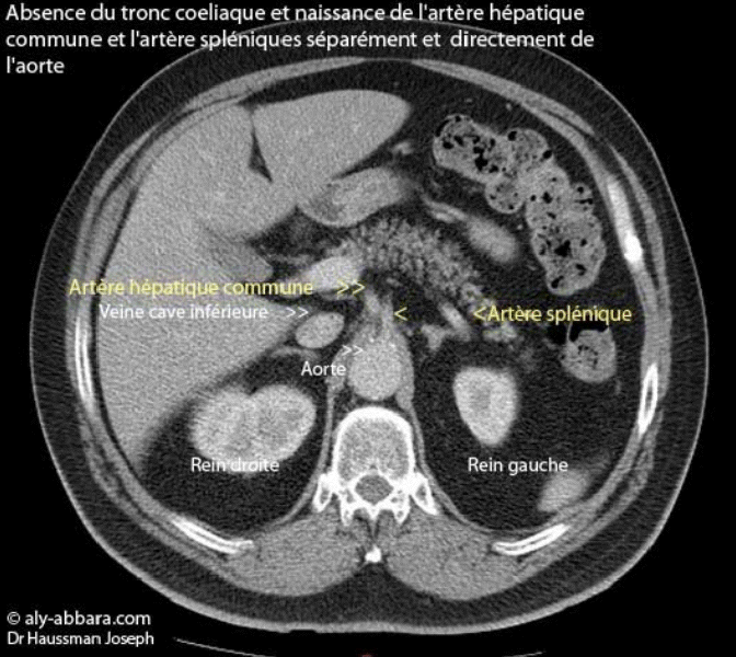
Image montrant l'absence du tronc coeliaque et la naissance de l'artère hépatique commune et l'artère splénique directement et séparément de l'aorte

Image montrant l'absence du tronc cœliaque et la naissance de l'artère hépatique
commune et l'artère splénique directement et séparément de l'aorte
(Scanner abdominal chez un individu âgé de 50 ans)

Habituellement, le tronc cœliaque naissant de l'aorte abdominale, se sépare en deux branches, la
branche droite, c'est l'artère hépatique commune, puis la branche gauche, c'est l'artère splénique.

Imagerie et diagnostic réalisés par Dr Haussman Joseph. Extraction des images,
légendes, animation et publication par Dr Aly Abbara.

Atlas d'échographie
www.aly-abbara.com
Paris / France